المادة البيضاء في الدماغ..تعرف عليها

يتكون الدماغ بشكل أساس من مادتين، المادة البيضاء والمادة الرمادية، إذ يحتويان على مكونات بصورة مقسمة. لنتعرف على المادة البيضاء في الدماغ.
المادة البيضاء في الدماغ
المادة بالبيضاء هي عبارة عن نسيج يغطي الأجزاء العميقة من الدماغ، يتكون من ألياف عصبية تسمى المحاور العصبية التي تربط ما بين الخلايا العصبية، تغطيها مادة دهنية تسمى غمد الميالين. (هو الذي يعطي المادة البيضاء لونها.)
إذ تقوم الميالين في:
- تسريع النواقل العصبية بين الخلايا، مما يمكن خلايا الدماغ من إرسال الرسائل واستقبالها بسرعة.
- حماية الألياف العصبية من الإصابة.
تشكل المادة البيضاء حوالي نصف الدماغ، بينما تشكل المادة الرمادية (هو نسيج موجود على سطح الدماغ تعتبر القشرة الدماغية يحتوي على أجسام الخلايا العصبية، والتي تعطي المادة الرمادية لونها) النصف الاخر.
أهمية المادة البيضاء في الدماغ
في البدايات الأبحاث والدراسات لم يكن مكتشف أهمية المادة البيضاء ودورها في الدماغ، وبعد مجموعة من الدراسات التي استغرقت قرون، تم توضيح أهمية المادة البيضاء.
التواصل والاتصال التي تحققه المادة البيضاء من خلال الميالين، ينعكس على السلوك البشري التي توضح بما يأتي:
- المادة البيضاء عبارة عن نظام واسع ومتشابك من الوصلات العصبية التي تربط كل الفصوص الأربعة للدماغ معًا.
- جميع المناطق القشرية المعروفة متصلة بمناطق أخرى من الدماغ بواسطة مسالك المادة البيضاء، يشير ذلك إلى أن المادة البيضاء هي التي توفر الاتصال والتنسيق ما بين المناطق القشرية لإجراء عمليات عقلية ولا توجد منطقة قشرية تعمل بمعزل عن غيرها.
- تضمن المادة البيضاء حدوث التوصيل العصبي السريع في الدماغ، مما يساهم بشكل مباشر في كفاءة معالجة المعلومات النموذجية للإدراك الطبيعي.
ماذا يحصل نتيجة التغير بالمادة البيضاء في الدماغ؟
تبقى المادة البيضاء في التطور والتزايد حتى العشرينات أو في بعض الحالات قد تصل إلى الخمسينات، على عكس المادة الرمادية التي تبلغ ذروتها في التطور في عمر (11-12) سنة.
لكن قد يحدث إتلاف بالغمد الميالين أو انخفاض في الميالين بتالي تغير المادة البيضاء في الدماغ، مما ينجم عنها مجموعة من الاضطرابات والمشاكل الصحية والنفسية.
قد تم ربط التغيرات في الميالين بعد من الاضطرابات النفسية ومنها ما يأتي:
- انفصام الشخصية.
- الاكتئاب الشديد.
- التوحد.
- مرض الزهايمر.
- عسر القراءة.
- الوسواس القهري.
- اضطراب نقص الانتباه وفرط النشاط.
- داء توريت.
- اضطراب ما بعد الصدمة.
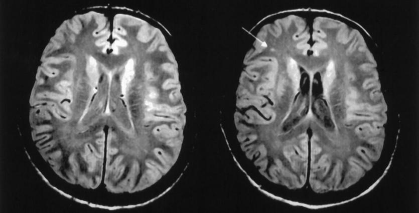
مرض المادة البيضاء
هو عبارة عن اضطراب يحدث نتيجة تاكل الأنسجة في الجزء العميق من الدماغ وهو التغير في المادة البيضاء.
يمكن أن يؤثر التغير في المادة البيضاء وخاصةً أغلفة المايلين على مزاج الشخص.
قد يتطور مرض المادة البيضاء وتشكل خطورة مع الحالات الطبية المرتبطة بالشيخوخة والتقدم بالعمر، مثل السكتة الدماغية وأمراض القلب والأوعية الدموية وداء السكري، ولكنه يمكن أن يؤثر أيضًا على الشباب بسبب حالات مثل الحثل الكظري الدماغي والتصلب اللويحي المتعدد.
في المراحل الأولى تكون الأعراض خفيفة وتزداد مع مرور الوقت ومن هذه الأعراض مواجهة مشاكل في ما يأتي:
- التركيز والذاكرة.
- التوازن والمشي.
- المزاج.
- التفكير وحل المشاكل.
- صعوبة بالتكلم.
طرق تحسين مخزون المادة البيضاء
يوجد مجموعة من سلوكيات وأنماط الحياة التي تساهم في تحسين مخزون المادة البيضاء في الدماغ، وقد تساهم في تطور المادة بعد عمر العشرينيات، ومن هذه الطرق ما يأتي:
1. ممارسة النشاط البدني
لقد أثبتت مجموعة من الأبحاث والدراسات أن الأنشطة التي تهدف تنشيط القلب والجهاز التنفسي مثل التدريب على مقاومة الأوزان، تساهم في:
تحسين سلامة المادة البيضاء في الأدمغة.
التقليل من خطر الإصابة بالخرف، والتدهور المعرفي البطيء لمرضى الزهايمر.
2. تعلم مهارة جديدة
من خلال عدد من الدراسات أثبت أن تعلم الكبار في السن لمهارة جديدة، مثل تعلم القراءة أو رياضية جديدة، قد يساهم في زيادة نسبة المادة البيضاء.
3. العزف
لقد تم ملاحظة في زيادة المادة البيضاء في الدماغ عند الموسيقين خلال فترة العزف على الالة الموسقية.
4. التأمل والاسترخاء
قد يساهم التأمل والاسترخاء في تحسين أداء المادة البيضاء.