فلسطين اليوم
فلسطين 48
الشتات
المحافظات
العالم اليوم
ملتيميديا
فيديو
صورة وحكاية
عين على الحدث
بودكاست
تقارير خاصة
برامج الإذاعة
اتصل بنا
راية اف ام
راية مكس
راية تي في
البث المباشر
الطقس
Loading...
أوقات الصلاة
الفجر
5:22 AM
الظهر
12:25 PM
العصر
3:39 PM
المغرب
6:11 PM
العشاء
7:26 PM
العملات
Loading...
ترددات البث
جنوب فلسطين
FM 96.8
أريحا و الأغوار
FM 96.8
وسط فلسطين
FM 98.3
جنين و الخليل
FM 98.3
شمال فلسطين
FM 96.4
بودكاست
شبكة راية الإعلامية
الأوسمة
طب
7 حقائق علمية تكشف فائدة القهوة
دراسة تكشف "السر".. كيف تصبح أصغر بـ30 عاما؟
الأطباء يلاحظون هبوطا "غامضا" في حرارة جسم الإنسان
المسكنات قد تسبب صداع دائم
قريبا.. زراعة قلب خنزير في جسم إنسان
العلماء يكتشفون الخديعة الكبرى للخلايا السرطانية
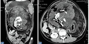
عانت من آلام بالمعدة.. والأطباء اكتشفوا المفاجأة الصاعقة
عاش 20 عاما بانسداد في الأنف.. واكتشف الطبيب المفاجأة
استخدامات قد "لا تخطر على البال" للخل الأبيض
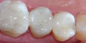
ابتكار حشوات أسنان أبدية
هذه أطعمة تساعد على الاسترخاء والنوم
جامعة القدس تطلق "شركة مدينة جامعة القدس الطبية"
Loading...
أظهر المزيد
بحث